Tomografía Computada de Haz Cónico (CBCT)

La Tomografía Computada CONE BEAM es un procedimiento rápido y cómodo. El paciente se posiciona frente a la máquina mientras un brazo giratorio alrededor de la cabeza captura múltiples imágenes desde diferentes ángulos.

Alta Resolución

Imágenes de alta calidad y detalles finos, esenciales para diagnósticos precisos y planificación de tratamientos.

Visualización 3D

Permite la visualización de estructuras dentales y óseas en 3D, facilitando la identificación de problemas.

Baja Radiación

Dosis de radiación más baja que las tomografías computarizadas tradicionales.

Tomografía CBCT

¿Para qué usamos la CBCT?

Implantes Dentales

Planificación precisa de implantes

Retenidos

Diagnóstico y planificación

Endodoncia

Evaluación de anatomía radicular

Ortodoncia

Evaluación de posiciones dentarias

ATM

Evaluación de articulación

Cirugía Ortognática

Cortes axiales y coronales

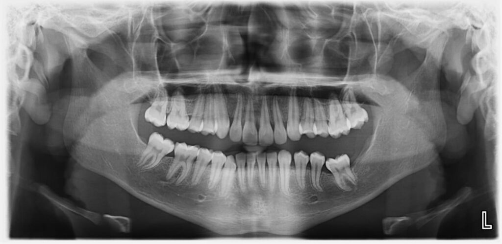
Radiografías Extraorales

Radiografías Digitales Extraorales

Contamos con equipos PLANMECA PROMAX que permiten realizar estudios panorámicos de formato digital con excelente calidad de imagen.

  • Radiografía panorámica digital
  • Seriada de ATM
  • Senos paranasales (FNP-MNP)
  • Telerradiografía frente/perfil
  • Radiografía carpal

Radiografías Intraorales

Imágenes directas de los dientes y tejidos circundantes para una evaluación precisa en tiempo real.

  • Radiografía periapical
  • Radiografía seriada de ambos maxilares
  • Radiografía Bite Wing
  • Radiografía oclusal por maxilar
Radiografías Intraorales

Servicios Adicionales

Ofrecemos soporte y asesoramiento personalizado para complementar tu atención odontológica.

Trazados Cefalométricos

Ricketts, McNamara, Gianni Pistoni, Bjork-Jarabak, Harvol, Steiner, Tweed, Schwartz y otros.

Fotografías Clínicas

Intra y extraorales, incluyendo fotografías pre ortognáticas.

Entrega Digital

Imágenes vía correo electrónico, WhatsApp o Dropbox en formato digital.

¿Necesitás un estudio radiológico?

Contactanos y reservá tu turno en cualquiera de nuestras 3 sedes.